
오늘은 폐렴에 대해 자세히 알아보는 시간을 가져보려고 합니다. 요즘 폐렴에 대한 걱정이 많아지면서, 어떤 증상이 있는지, 왜 생기는지, 어떻게 진단하고 치료할 수 있는지 궁금해하시는 분들이 많으실 텐데요. 우리 가족의 건강을 지키기 위해 꼭 알아둬야 할 정보들이니까요, 끝까지 함께해 주세요!
폐렴 정의
폐렴은 폐에 염증이 생기는 질환을 말합니다. 보통 바이러스나 세균, 곰팡이 같은 미생물에 감염되어 발생하는데, 염증이 생기면 폐가 제 기능을 다하지 못하게 되고, 이로 인해 여러 증상이 나타나게 됩니다. 폐렴은 특히 면역력이 약한 어린이나 노인, 그리고 만성 질환을 앓고 있는 분들에게서 더 심각하게 나타날 수 있어서 주의가 필요합니다.
폐렴 주요 증상
폐렴 증상은 사람마다 조금씩 다르게 나타날 수 있지만, 일반적으로는 다음과 같은 증상이 나타납니다.
- 기침: 처음에는 마른기침이 시작되다가 점차 가래가 섞인 기침으로 변해요. 가래가 노란색, 초록색 또는 피가 섞여 나올 수도 있습니다.
- 고열과 오한: 폐렴에 걸리면 갑자기 열이 오르고, 심한 경우 오한까지 동반될 수 있어 열이 나면서 몸이 덜덜 떨리는 증상이 나타나면 폐렴을 의심해 볼 필요가 있습니다.
- 호흡곤란: 숨이 차고 가슴이 답답한 느낌이 들 수 있습니다. 특히 계단을 오르거나 조금만 움직여도 숨이 차는 경우에는 반드시 병원 진료를 보도록 합니다.
- 가슴 통증: 기침할 때나 숨을 깊이 들이마실 때 가슴에 통증이 느껴질 수 있습니다. 이런 통증은 폐에 염증이 생기면서 나타나는 경우가 많습니다.
- 피로와 무기력: 몸살이나 감기와 비슷하게 몸이 무겁고 피로감이 심하게 느껴질 수 있습니다. 그러나 폐렴의 경우 이 피로감이 며칠 동안 지속되기도 합니다.
이 외에도 두통, 식욕 부진, 구토, 설사 등의 증상이 동반될 수 있어요. 폐렴 증상이 심해지면 일상생활이 어려워질 수 있으니, 증상이 나타나면 빨리 대처하는 것이 중요합니다.




폐렴 원인과 진단 방법
그렇다면 폐렴은 왜 생기는 걸까요?
폐렴의 주요 원인은 바로 세균과 바이러스 감염입니다.
| 구분 | 원인 |
| 세균성 폐렴 | 폐렴구균이라는 세균에 의해 발생 |
| 바이러스성 폐렴 | 인플루엔자 바이러스 또는 코로나바이러스와 같은 바이러스에 의해 발생 |
폐렴의 정확한 진단을 위해서는 병원에서 여러 가지 검사를 받아야 합니다.
- 청진: 의사가 청진기를 통해 폐에서 나는 소리를 확인하는 방법입니다. 이상한 소리가 나거나 호흡이 불규칙한 경우 폐렴을 의심할 수 있습니다.
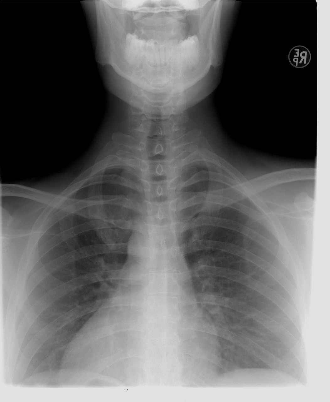
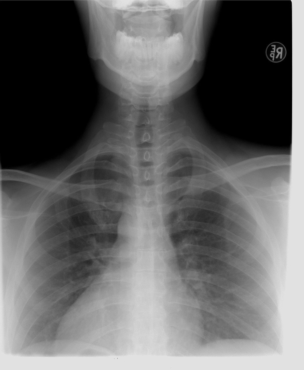
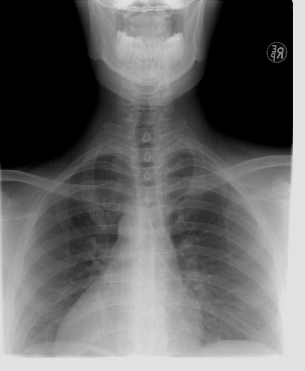
- 흉부 방사선 검사: 폐에 염증이 있는지 확인하는 방법으로 정확한 진단을 위해 사용합니다.
- 그 외 필요에 따라서는 혈액검사나 가래 검사를 통해 어떤 미생물이 폐렴을 일으켰는지 확인할 수 있습니다.


폐렴 치료 방법
폐렴 치료는 원인에 따라 다르게 진행됩니다.
| 구분 | 치료 |
| 세균성 폐렴 | 주사 혹은 경구 항생제를 투여하여 세균을 제거하는것이 중요 |
| 바이러스성 폐렴 | 바이러스를 억제하는 약물과 함께 증상 완화시키는 것이 중요 |
증상이 심하지 않다면 외래에서 치료하나 호흡 곤란 등 심한 증상이 나타나면 입원 치료를 하는 것이 좋습니다.
폐렴 예방방법
건강한 생활습관을 유지하는 것이 중요합니다.
- 면역력을 높이기 위해 규칙적인 운동과 균형 잡힌 식사
- 손 씻기 등 철저한 개인위생 관리
- 폐렴 예방접종
특히 65세 이상이나 만성질환이 있는 분들은 폐렴구균 백신 접종이 추천되는데요, 이 백신은 폐렴의 주요 원인균을 예방하는 데 효과적이기 때문에, 폐렴에 걸릴 위험을 크게 줄일 수 있다고 합니다.


폐렴 구균백신 종류와 부작용
우리나라에서 사용되는 폐렴구균 백신은 주로 2가지로 나눠볼 수 있는데요 단백결합 백신(PCV)과 다당질 백신(PPSV)이 있습니다. 그럼 아래표를 통해 폐렴구균 백신 종류와 대상 접종 횟수에 대해 알아보겠습니다.
| 종류 | 대상 | 접종 횟수 | 부작용 |
| 단백결합 백신(PCV) 프리베나 13 |
주로 영유아와 어린이들 | 생후 2개월, 4개월, 6개월로 3회 기본 접종 시행 이후 12~15개월 추가접종 |
☞ 접종 부위 통증, 발적 붓기 ☞ 피로감 ☞ 발열 ☞ 알레르기 반응 (호흡곤란, 발진, 두드러기 등) ☞ 심한 통증이나 붓기 (접종 부위가 심하게 붓거나 통증이 오래 지속시 병원 진료 추천) |
| 다당질 백신(PPSV) 프로디악스 23 |
주로 65세 이상 노인 또는 만성질환을 앓고 있는 성인 |
65세 이상 1회 접종 권장 65세 이전에 접종한 경우 5년 후 추가접종 |
백신 접종 전에는 개인의 건강 상태와 과거 알레르기 이력을 의료진과 충분히 상담한 후 접종할 수 있도록 합니다.
접종 이후 부작용을 주의 깊게 살피는 것이 중요하며 특히 고령자나 만성 질환자의 경우 부작용이 더 심하게 나타날 수 있는 이 부분도 꼭 고려해야 합니다.
👇👇우리 동네 폐렴 구균백신 예방접종 가격이 궁금하다면 아래 버튼을 통해 검색해 보세요👇👇
지역 설정 ☞ 의료기관 규모 설정 ☞ 비급여 진료비 항목에서 '폐렴구균' 검색
오늘은 폐렴 증상부터 원인, 진단, 치료 방법, 그리고 예방까지 폐렴에 대해 자세히 알아봤어요. 폐렴 증상은 감기나 독감과 비슷하게 시작되지만, 더 심각한 합병증으로 이어질 수 있기 때문에 주의가 필요해요. 가족의 건강을 지키기 위해, 조금이라도 폐렴 증상이 의심된다면 주저 말고 병원을 방문해 보세요. 예방접종도 잊지 말고 챙기시고요!
'건강정보' 카테고리의 다른 글
| 장염과 식중독 차이, 원인 증상 치료방법 예방방법 종합 가이드 (0) | 2024.08.09 |
|---|---|
| 소화불량 원인, 증상 해결방법 예방방법 상세 가이드 (0) | 2024.08.09 |
| 고관절 통증에 효과적인 스트레칭 4가지 (0) | 2024.08.08 |
| 고관절 통증 원인 치료방법 생활습관 개선 총 정리 (1) | 2024.08.08 |
| 손가락 마디 통증 치료법 예방법 도움되는 음식 총 정리 (0) | 2024.08.08 |
